警惕!晶状体“过熟”引发的青光眼
67岁的符大爷十年前诊断为双眼白内障,于当地行右眼白内障手术,因为经济原因,左眼一直未做手术。最近感觉左眼胀痛,看东西也模模糊糊的。起初,他以为是休息不足所致,并未太在意。然而到了晚上,眼部疼痛突然加剧,还伴有头痛、恶心等症状,家人见状赶紧将他送往医院。
检查结果显示:符大爷晶状体皮质液化,左眼眼压高达60mmHg(正常范围为10-21mmHg),前方内有白色絮状皮质,被确诊为左眼晶状体溶解性青光眼,需要紧急治疗。

晶状体溶解性青光眼
什么是晶状体溶解性青光眼?
晶状体溶解性青光眼是发生于过熟期白内障的继发性开角型青光眼。
小tips:白内障分期
初发期:晶状体周边出现楔形混浊,早期不影响视力,发展很慢。

图1 初发期白内障
膨胀期:晶状体变浑、肿大,可能诱发青光眼,视力明显下降,有“虹膜投影”特征。

图2 膨胀期白内障
成熟期:晶状体全浑呈乳白色,视力极差,眼底看不见。

图3 成熟期白内障
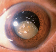
过熟期:晶状体缩小,可能出现核下沉,视力或突然变好。

图4 过熟期白内障
此时,眼睛里的晶状体变得又软又稀,包裹晶状体的“壳”(皮质)变成液体,流入眼球前方的空间(前房)里。这些流出来的液体,会被一种叫巨噬细胞的“清洁工”吃掉。吃了这些液体的巨噬细胞变胖后,加上那些没被吃掉的大颗粒晶状体蛋白,会通过晶状体外面变薄的“袋子”(晶状体囊)或者上面的小孔,跑到前房里,引起眼睛排水的通道(小梁网)的堵塞,导致眼内液体(房水)无法排出,眼睛里的压力就会突然升高,这就是晶状体溶解性青光眼。
怎样确定为晶状体溶解性青光眼呢?
症状:常表现为突发性眼痛、视力骤降、红、头痛及恶心呕吐,易被误诊为急性闭角型青光眼。
体征:检查时能看到角膜水肿,前房里有白色小颗粒(前房混浊),瞳孔变大,眼压测量明显升高(>30mmHg)。

辅助检查:
(1)超声生物显微镜(UBM):能看到晶状体外面的“壳”破了(晶状体囊膜破裂),排水通道的结构不正常(房角结构异常)。

(2)前房穿刺:抽一点前房的液体检查,能发现里面有晶状体蛋白。
怎样治疗晶状体溶解性青光眼?
1.药物治疗
降眼压:使用渗透性脱水剂(如甘露醇20%)、B受体阻滞剂(如噻吗洛尔)或碳酸酐酶抑制剂(如乙酰唑胺片、醋甲唑胺片)快速降低眼压。
抗炎症:局部或全身应用糖皮质激素(如地塞米松),减轻眼部炎症。
2.手术治疗
白内障摘除术:把已经“坏掉”的晶状体彻底清除,包括里面稀软的东西和外面的“壳”,解除房角堵塞,为根本性治疗手段。
联合抗青光眼手术:若房角粘连严重,导致排水通道堵得太严重,则需同步进行小梁切除术或房角分离术,重建房水引流通道。
注意,手术后需密切监测眼压、角膜透明度和视神经功能,必要时联合降眼压药物控制眼压。
怎样预防晶状体溶解性青光眼发生?
晶状体溶解性青光眼来势汹涌,越早干预,对视力恢复越好。所以预防晶状体溶解性青光眼的发生要做到以下几点:
①白内障患者应定期复查
②成熟期或过熟期白内障患者,应尽早手术
③积极治疗眼部疾病,定期检查
④出现眼痛、视力变化立即就医
温馨提醒:白内障不是“小毛病”,拖延治疗可能引发多种严重并发症。建议50岁以上人群每年进行眼科检查,早发现、早治疗才能守住光明!
(本文作者中南大学湘雅医院 黄熙、童诚莉;指导专家 周一、孙铃钰)
【来源:星辰在线】


