拍片子不再懵!一文看懂X光、CT和核磁的区别
星辰在线1月27日讯(星辰全媒体记者 彭穗 通讯员 刘礼玲) 拍片子时,医生有时开X光,有时做CT,有时又说要做核磁。这三者到底有什么不同?又该如何配合选择?看完这篇就明白。
原理不同,看清的结构也不同
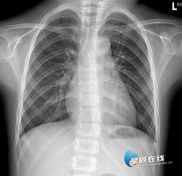
X光像一张透视照片,它利用X射线穿过人体,由于骨骼、肺部等组织密度不同,在片上形成黑白影像。这种鲜明的“黑白对比”能快速发现骨折、肺部感染等病变,速度快,常用于急诊和初步筛查。

(X光片影像示例,清晰显示骨骼与肺部的对比。)
CT可以理解为“立体X光”,它通过环绕扫描,获取人体一层一层的断面图像,再重组成三维影像。它能看清更细微的结构,比如肺部小结节、脑出血等,是发现早期肿瘤、评估复杂伤情的重要工具。

(CT图像示例,肺部细节。)

(头部CT影像示例,显示脑部结构。)
核磁共振(MRI)没有辐射,利用磁场和无线电波让人体内的氢原子振动,接收信号后成像。它对肌肉、韧带、大脑、脊髓等软组织显示特别清晰,常用来诊断关节损伤、脑肿瘤、椎间盘突出等。

(膝关节核磁共振影像示例,清晰显示半月板与韧带。图片均由 通讯员 提供)
走出常见误区
误区1:核磁共振辐射更大?
不对。核磁没有辐射,它是利用磁场成像。CT虽然有一定辐射,但单次检查的剂量在安全范围内,医生会严格控制使用。
误区2:增强CT比普通CT更好?
不一定。“增强”需要注射对比剂,主要用于观察血流或强化某些病灶,不是所有情况都需要。普通CT往往已能满足初步诊断需求。
误区3:核磁检查时间越长越好?
不是。检查时间由部位和序列决定,并非越长越好。时间过长可能导致身体移动,反而影响图像质量。
误区4:越贵的检查越适合自己?
并非如此。医生是根据病情需要选择最合适的检查。比如看骨折,X光通常足够;看脑卒中,CT快速有效;看韧带或神经,核磁更有优势。
【来源:星辰在线】


