宁乡市人民医院妇科专家提醒:这种妇科肿瘤,专挑年轻女孩下手
“妇科疾病是长辈的事,没结婚不用查”不少年轻女孩都有这样的侥幸心理,21岁的小娇也不例外,直到一场突如其来的不适,彻底击碎了她的认知……
肚子凸起,竟是危险信号!
过年期间,小娇饮食油腻、吃得较多,起初小腹凸起,她一直以为是长胖了,并未在意。直到一个多月前,她突然感到下腹持续隐痛、发胀,平躺时不适感加剧,用手触摸腹部,竟摸到一个明显包块。
心存不安的她立即前往宁乡市人民医院就医,查体发现其腹部包块上界已达脐水平、两侧至腋前线,大小堪比妊娠5个月的子宫。

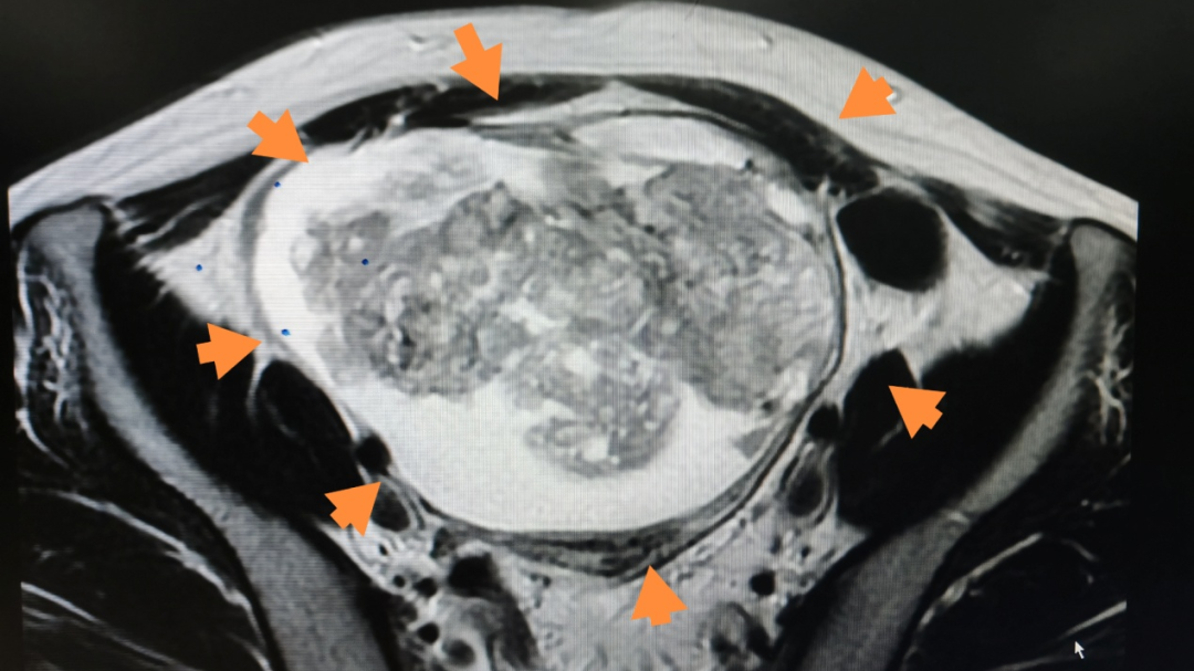
患者盆腔磁共振
腹部彩超检查显示,小娇盆腹腔内有巨大囊实性包块,盆腔磁共振进一步提示,该肿块性质待查,不排除畸胎瘤、粘液性囊腺瘤等可能,且伴有少量盆腔积液。
入院后,宁乡市人民医院知名专家、妇科主任刘青云主任医师经过细致地查体同时结合相关辅助检查结果考虑,该巨大肿物来源于卵巢,且不排除恶性可能,需紧急手术。术中探查发现腹腔内巨大囊实性肿物,快速病理提示为未成熟畸胎瘤,腹水中可见肿瘤细胞。
考虑到小娇年轻且有生育需求,该院手术团队在保留其生育功能的前提下,彻底清除病灶并完成全面分期手术。目前小娇术后恢复良好,将根据指南接受后续补充治疗。
花季妙龄,本应是青春肆意绽放的时光,一场卵巢肿瘤却让她经历了一场惊心动魄的健康考验。这种专挑年轻女孩下手的。未成熟畸胎瘤究竟是什么?又该如何早发现、早应对?
1.什么是卵巢未成熟畸胎瘤?
卵巢未成熟畸胎瘤是一种含有未成熟组织的数量不等的成熟组织的畸胎瘤。肿瘤通常以实性为主,部分区域可呈多房囊性表现,可伴有出血、坏死、有成熟成分时可见毛发油脂牙齿及骨及软骨等,它属于卵巢恶性生殖细胞肿瘤。
它有几个关键特点:
①偏爱年轻人:10-30多岁最多见,学生、刚工作的女孩都可能中招。
②生长极快:短时间内迅速增大,所以会让人“小腹突然隆起”。
③早期可能无症状:初期只觉得胀、胖、容易被忽略。
④恶性,但治愈率很高:比起常见的上皮性卵巢癌,它对化疗敏感,保留生育功能手术+规范治疗后,生存率非常可观。
2.如果出现以下情况,尽快去妇科检查:
①短时间小腹快速隆起,像怀孕一样,体重没怎么涨,但肚子大了;
②腹胀、腹痛、下坠感,持续不缓解;
③尿频、便秘(肿瘤压迫膀胱/肠道);
④月经突然紊乱、量异常、痛经加重;
⑤平躺时,小腹能摸到硬块、包块。
花季年纪遭遇卵巢肿瘤,幸而发现及时,得以在保留生育功能的前提下重获健康,这也印证了,妇科健康无小事,年轻从来不是 “护身符”。
无论是否结婚、有无性生活,年轻女性都应重视妇科健康,定期妇科检查、关注身体细微变化是每位女性的必修课,别让侥幸耽误健康,别因忽视留下遗憾,守护自身健康,从重视妇科检查开始。
【来源:星辰在线】


